Контакты
event.rca@philips.com
Клинические задачи в кардиологии становятся более специфичными. Мы тоже. У нас есть решение под любую клиническую задачу.
У каждого пациента и каждого заболевания есть свои особенности. С увеличением количества операций и пациентов становится очевидной необходимость в более совершенных способах визуального контроля и интервенционных инструментах для эффективного лечения и уверенного принятия клинических решений. Именно поэтому Philips предоставляет широкий выбор интервенционных интегрированных технологий и расходных инструментов для рентгенхирургии.
Присоединяйтесь к научной программе Philips!
План Научной программы
Желаем вам продуктивного конгресса!
Скачать Программу
Восстановление оказания кардиологической помощи после COVID-19
Philips и ФГБУ «НМИЦ Кардиологии» Минздрава России провели проект по обзору и структурированию международного опыта перепрофилирования медицинских учреждений после COVID-19 под прием пациентов кардиологического профиля.
В него вошли обзоры из открытых источников профессиональных сообществ и клиник, которые уже прошли эту стадию, а также интервью с европейскими и российскими экспертами.
Получить документ
 |
Решение для периферических сосудов
Анализ результатов лечения сосудов
- Упрощает процессы визуализации и лечения, позволяет получать больше необходимых сведений и делать процедуры менее инвазивными для более уверенного принятия решений.
- Обеспечивает стандартизацию и синхронизацию рабочих процессов лаборатории для операций на сосудах, экономя время и деньги.
- Высококачественная визуализация при сверхнизких дозах рентгеновского облучения для широкого спектра клинических процедур вместе с технологией ClarityIQ.
- Эффективная и безопасная подготовка пораженного участка сосуда перед стентированием с моделирующим балоном AngioSculpt и лазерным катетером для атерэктомии TurboElite.
Узнать больше:
Решение для периферических сосудов
Лазерный катетер для атерэктомии TurboElite
Моделирующий балон AngioSculpt
|
Решение для исследований и лечения коронарных сосудов
Выполняйте сложные процедуры ЧКВ с высокой надежностью
- Динамическое картирование коронарных сосудов (DCR) предоставляет возможность навигации в режиме реального времени, а также улучшает визуализацию при проведении сложных процедур ЧКВ, значительно снижает применение контраста и лучевую нагрузку.
- Уверенное принятие решений во время лечения и возможность предсказания результата процедуры для оптимизации ЧКВ посредством запатентованных технологий ко-регистрации iFR от Philips.
- Полная интеграция технологий управления для упрощения рабочего процесса и повышения эффективности операции.
- Эффективная и безопасная подготовка пораженного участка сосуда перед стентированием с моделирующим балоном AngioSculpt и лазерным катетером для атерэктомии ELCA.
Узнать больше:
Решение для исследований коронарных сосудов
Лазерный катетер для атерэктомии ELCA
Моделирующий балон AngioSculpt
|
|
|
Решение для выполнения электрофизиологических процедур
Беспрепятственная интеграция — залог высокого уровня проведения процедур
- Обеспечивает удобство использования платформы для беспрепятственной интеграции в операционной различных навигационных систем.
- Автоматическая сегментация структур сердца.
- Улучшает 3D-визуализацию анатомии сердца.
- Обеспечивает интуитивное управление катетером.
- Эффективное и безопасное удаление электродов имплантируемых устройств.
Узнать больше:
Электрофизиология
Lead management
|
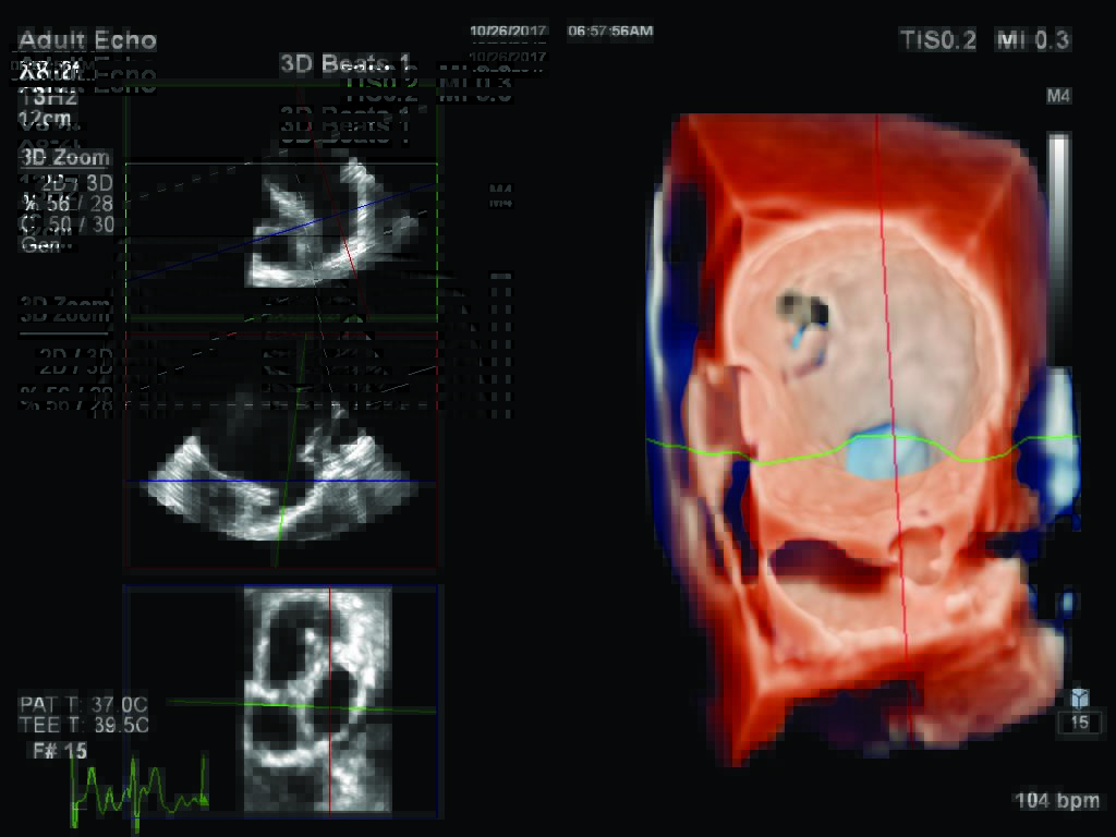
Решение для лечения структурных заболеваний сердца
От планирования до навигации в режиме реального времени при лечении структурных заболеваний сердца
- Переводит процессы планирования, выбора устройства и управления процедурами при структурных заболеваниях сердца на новый уровень, делая их доступными в режиме реального времени, что обеспечивает большую уверенность в результате.
- Объединяет 3D-изображения чреспищеводной ЭхоКГ и рентгеноскопии в режиме реального времени для лучшей визуализации.
- Снижение лучевой нагрузки при операциях на сердце с помощью технологии ClarityIQ.
Узнать больше:
Решение для лечения структурных заболеваний сердца
|
|
|
Премиальная ультразвуковая визуализация сердца и сосудов для точных манипуляций хирурга
- Инновационный уровень клинической эффективности интервенционных процедур под эхокардиографическим контролем.
- Сочетание достоверной клинической информации, высокой производительности и упрощения рабочего процесса, которые способствуют уверенности врача в принятии решений в ходе ультразвуковых исследований.
- Совмещение ультразвукового и рентгеноскопического изображений в реальном времени для более точных хирургических манипуляций.
- Более точная ориентация и позиционирование инструментов при имплантации устройств с помощью 3D-визуализации.
- На 52% снижение лучевой нагрузки на врача и пациента.*
- Снижение расхода контраста при использовании ультразвука в интервенционных вмешательствах.**
- Позволяет проводить диагностические исследования за пределами интервенционных лабораторий.
* Eickholt, M. Petersen, E. Kehmeier, V. Veulemans, M. Kelm, S. Willems, C. Meyer. Left Atrial Appendage Closure Guided by Integrated Echocardiography and Fluoroscopy Imaging Reduces Radiation Exposure. PLoS One. 2015 Oct 14;10(10):e0140386. PMID 26465747
** Zero Contrast Transfemoral Transcatheter Aortic Valve Replacement Using FluoroscopyEchocardiography Fusion Imaging. Mehdi Eskandari. MD, Omar Aldalati.MD, Jonathan Byrne MBChB, PhD, Rafal Dworakowski MD, PhD, Olaf Wendler MD, PhD, Ema Alcock. Mark Monaghan PhD, Philip MacCarthy BSc MBChB, PhD. The American Journal of Cardiology Volume 117, Issue 11, 1 June 2016, Pages 1861-1862
Узнать больше:
Премиальная система для лечения сердечно-сосудистых заболеваний Epiq CVx/Epiq CVxi
|
Информационные решения в кардиологии
Критически важная информация для оказания медицинской помощи высокого качества в онкохирургии
- Оптимизация рабочего процесса и повышение эффективности оказания медицинской помощи пациентам с сердечно-сосудистыми заболеваниями.
- Доступ к информации в любое время и в любом месте. Просмотр изображений пациента, полученных разными методами, включая предыдущие исследования, помогает сократить количество нецелесообразных и дорогостоящих повторных исследований.
- Детальный анализ данных пациента для получения необходимой информации с целью оценки соответствующих планов лечения пациентов. Обработка данных УЗ-диагностики для проведения полного анализа и реконструкции данных, оценки динамики, планирования хирургических вмешательств, проведения виртуальных консилиумов, поддержки междисциплинарных телемедицинских консультаций для кардиологических стационаров и центров.
- Повышение надежности при составлении отчетов. Приложение Diagnostic Guidance предупреждает о неточностях и противоречивых данных, сообщая о необходимости проверки или исправления ваших заключений.
- Масштабируйте решение в соответствии с потребностями. Решение может использоваться в рамках рабочего процесса отделения, учреждения и нескольких учреждений в разных областях, оптимизируя оказание медицинской помощи на всех этапах.
Узнать больше:
Информационное решение в кардиологии IntelliSpace Cardiovascular
|
|
|
Решение для нейро исследований
Решения в нейрорадиологии основаны на увиденном - давайте видеть больше.
- Превосходное качество визуализации с приложениями Neuro suite повышает клиническую значимость принимаемых решений вне зависимости от типа процедуры – визуализация маленьких внутричерепных сосудов, установка потоконаправляющего стента, лечение артериовенозных мальформаций.
- Улучшает процессы нейро исследований и работу с пациентами, выводя эффективность и слаженность лечения на новый уровень.
- Повышает уверенность в лечении благодаря динамичной визуальной навигации в режиме реального времени для лечения сложных патологий сосудов.
Узнать больше:
Решение для нейро исследований
|